Meaw 矯正
歯を抜かない矯正とは Multiloop Edgewise Arch Wire という英語の頭文字をとったものです。 このMEAWの意味はワイヤーを使って思うとおりに歯を動かすことができるという意味です。 また、このシュラブチェック教授の提.
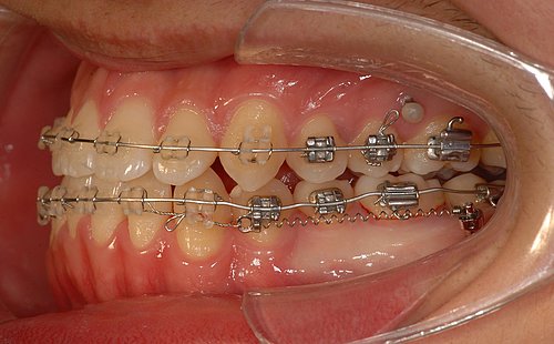
Meaw 矯正. 歯列矯正~マルチループワイヤー(meaw)1年4ヶ月 18年7月から8月の1ヶ月の変化 正面 18年7月. MEAWテクニックの新しい展開とHybrid Orthodontic Treatment System(HOTS) 池上富雄 著 熊本歯列矯正センター 発行 08年05月 変型判 頁. ボストン大学の助教授のときに思いついたという。 それから年後の1987年に、 第2回日本矯正学会において発表したのであるが、 これがmeaw法が最初に発表されたところである。.
MEAW法でAPDIと言っている。 Antero Posterior Displasia Indicatorの略である。 ABラインと口蓋平面とのなす角のことである。 これによって、上顎と下顎の前後的な位置関係を示そうということである。. 3.乳歯からの小児矯正 床矯正 部分ワイヤー矯正 ムーシールド efライン (マウスピース) 4.顎顔面育成矯正治療 ランパセラピー. MEAW(マルチループ・エッチワイズ・アーチーワイヤー MULTILOOP EDGEWISE ARCH-WIRE)を利用した治療法は、アメリカのタフツ大学のキム先生により1980年代に考案され、日本では主に神奈川歯科大学元学長の佐藤貞雄先生、現神奈川歯科大学歯科矯正学教授代行、秋本進先生等により長年にわたり進化、発展してきた治療方法です。.
約1年半の状態。前歯、奥歯もだんだん咬んできています。 このように上下のゴムをつけることによって歯の移動、顎の移動を行うので、患者さんがゴムをつけないと治らないのが meawの欠点ですが、通常の矯正治療より早く終わることと、歯を抜かずに歯が並ぶことができる画期的な矯正法法. 当院では最近の矯正システム Meaw Tequnique(ミュウ テクニック) を採用しています。. MEAW研究会雑誌 = The International journal of the MEAW Technic and Research Foundation 日本MEAW研究会 編集 日本MEAW研究会, 1994- 1巻1号 (1994.10)- = 通巻 (1994.10)-.
矯正装置の違いとは? 矯正の装置には様々なものがあります。 従来の金属製、目立ちにくい白いもの、歯の裏側に着けるもの、取り外し式のものなど様々です。 しかし、矯正治療において最も大切なのは治療に対する診断と治療計画です。. 3.抜歯矯正と非抜歯矯正(歯を抜かない矯正)の比較 ~非抜歯による矯正治療が選ばれている理由~ そこでおすすめしたいのが「 非抜歯矯正 」です。 非抜歯矯正は親知らず以外の抜歯はもちろん外科手術は行わないため、輪郭や骨格は一切変化しませんが、歯並びや噛み合わせは改善する事. 歯並びを整えるための矯正装置にはさまざまな種類があります。当院ではそのなかでもマルチループ矯正を採用しています。マルチループ矯正は「Multiloop Edgewise Arch Wire」のことを意味し、MEAW矯正とも呼ばれています。オーストリア咬合学という咬み合わせの概念を組み合わせた矯正治療は比較的新しく、そして画期的な治療方法です。.
MEAWテクニックの新しい展開とHybrid Orthodontic Treatment System(HOTS) MEAWテクニックはボストン在住の矯正家Dr.Y.H.Kim により1960年代の中頃に開発され、日本には1980 年代に導入された矯正治療の概念ですが、いわゆる難症例と言われる症例に対してめざましい治療効果を発揮してきました。. MEAW(Multiloop Edgewise Archwireマルチループ・エッジワイズ・アーチワイヤー) 当院では根本的な原因を解決し、比較的短期間(1~2年)に矯正治療を完了させるために、MEAWを採用しています。. こんな夢のような矯正治療法があるのかな・・・・・!? ・・・・・ ・・・・・ ・・・・・ 矯正治療前の患者様は多くの不安を抱いていらっしゃるのです。 無料矯正相談Web予約はこちら.

分享颜面不对称 下颌偏斜 病例的相关资料 您的广州牙医樊成涛 搜狐博客
ウィーンデンタルオフィスからの最新情報 お知らせ
抜かない歯列矯正日記 Meawの反作用
Meaw 矯正 のギャラリー
展新齒顎矯正專科 改正反咬 第三級異常咬合 之利器 Meaw Technique 適應症 請洽詢矯正醫師 Facebook

Lh Meaw的妙用 渥爾牙醫 全數位化牙科4 0診所 院長 簡士智 隨意窩xuite日誌

矯正治療のゴムの装着 親知らず抜歯 装置が外れた時 保定装置q A

歯列矯正 マルチループワイヤー Meaw 1年4ヶ月 りあるtone

第5回目調整 Meawワイヤー外れました 23歳からの非抜歯 歯列矯正ブログ

Mini Meawについて 池上矯正歯科クリニック

目立ちにくい矯正歯科 歯並び治療 四季デンタルクリニック 栃木県 鹿沼市 宇都宮市 壬生町 栃木市 鳥居跡町 新鹿沼駅

Lh Meaw的妙用 渥爾牙醫 全數位化牙科4 0診所 院長 簡士智 隨意窩xuite日誌

成人矯正 たけざわ歯科医院

Lh Meaw加上骨釘改善超級三級咬合 陳彥朋醫師之齒顎矯正顏面美學 痞客邦

成人牙齿矫正 地包天正畸案例分享 斯迈尔齿科 Sme 官方网站 一次选择终身相伴

矯正的現在與過去 張慧蘭牙醫師 普愛齒顎矯正牙醫診所 牙醫師專欄文章 台灣牙科網

佛山市口腔医院佛山口腔医院口腔医院

矯正治療 町田 町田市 の歯医者なら みどりの森デンタルクリニック

マルチループアーチワイヤー Meaw について 矯正歯科ネット

非抜歯矯正 Meaw 青木歯科医院

开颌矫正 咬不断面条也是一种痛

矯正歯科 西新宿の歯医者 歯科はs Aデンタルクリニック
抜かない歯列矯正日記 ついにmeawです 彡4回目調整日 写真有

マルチループアーチワイヤー Meaw について 矯正歯科ネット

门牙凸上唇翻 拔牙内收矫正收获姣好侧颜

当院の矯正治療メニュー マルチループアーチワイヤー Meaw で治療 山口県 宇部の矯正歯科なら あいおい歯科 インプラント矯正クリニック
神奇的meaw技术 医联
自锁托槽矫治器 腾讯视频

大人矯正 歯の治療 矯正は和歌山市の野村歯科医院

Chris Chang Ortho 541 Open Bite Correction o Winter Chris Chang 3 Youtube
Http Cf Iaoi Pro Asset Files Nto Vol 04 Pdf

优适捷牙齿矫治器快速矫牙从 齿 变美无压力 财经观察网

非抜歯矯正とは 恵比寿 渋谷の矯正 矯正歯科なら恵比寿ますだ矯正歯科

非抜歯による矯正治療の流れ

她的开合矫治应用了meaw技术 原创 武广增的博客 Kq口腔博客

hahahaの話 歯列矯正 Meawワイヤー
自锁托槽矫正 腾讯视频

No 60 抜歯矯正の実力 ぷれすしーど掲載記事 ふかつ歯科 矯正歯科 広島県福山市の矯正歯科クリニック
気付かれない矯正治療なら祐天寺のアクアデンタルクリニック

矯正歯科 Irregular Teeth 島歯科医院 埼玉県 川越市 本川越 歯並び 小児矯正 成人矯正
展新齒顎矯正專科 一位在生長期的年輕患者因齒列不整前來求診 經檢查討論後 決定採取上下左右各拔除一顆小臼齒以提供排 Facebook

附图 Meaw弓丝 前牙开牙合患者戴用meaw弓丝的右侧牙合像 口腔医学 天山医学院
神奇的meaw技术 医联
For Class Iii Patients With Extraction Chris Chang Ortho Facebook

Meaw矯正法非手術牙齒矯正的福音 大紀元

开颌矫正 咬不断面条也是一种痛
Http Www Kenkose Com Tw Modules Newbb Dl Attachment Php Attachid Post Id

Meaw矯正法非手術牙齒矯正的福音 大紀元

偏颌畸形矫正病例1 正畸 Kq 新浪博客

Meaw弓丝的弯制和应用 专栏 正畸弓丝弯制技术 天山医学院

牙套要戴多久 维乐口腔 连锁品牌 上海官网 一切与牙无关 一切与人有关

非外科的矯正 公認 東京 港区 広尾の歯科 ジルコニア 審美 マウスピース矯正 歯を抜かない矯正

怡登牙醫診所 實際案例齒顎矯正

怡登牙醫診所 實際案例齒顎矯正

Meaw矫治之 开合篇b 拜尔口腔黎强 新浪博客

浜松の小児歯科 小児矯正治療ならオペラデンタルオフィス

魏金忠怎么样 挂号预约 坐诊时间 医生简介 北京美莱口腔科 开立特口腔

微博

なぜワイヤーにループが入っているのか 白数デンタルオフィス 噛み合わせを考えたインプラントと矯正歯科

隐形牙套 上海名医天地

如何只做牙齒矯正來改善厚道的下巴和前牙錯咬 林榆芩醫師 痞客邦

非抜歯による矯正治療の流れ

談lh Meaw 渥爾牙醫 全數位化牙科4 0診所 院長 簡士智 隨意窩xuite日誌

图 外科meaw弓丝应用 医学名词 39疾病百科

大阪ライフ歯科 矯正歯科 心斎橋にある抜かない歯列矯正の歯医者

非抜歯矯正でよく使う装置 矯正 自由が丘歯科室

西安牙齿矫正地包天矫正
展新齒顎矯正專科 一位在生長期的年輕患者因齒列不整前來求診 經檢查討論後 決定採取上下左右各拔除一顆小臼齒以提供排 Facebook

抜かない矯正 なかの歯科クリニック
閃電課程之優勢 美邦齒顎矯正專科牙醫診所

广州牙齿矫正正畸医生熊飞的微博 微博

Lh Meaw的妙用 渥爾牙醫 全數位化牙科4 0診所 院長 簡士智 隨意窩xuite日誌

高雄 台南lh牙齒舌側矯正醫師推薦 蘇桄緯醫師 案例分享 Lh牙齒矯正 18 牙齒排列不整 關閉臼齒拔牙空間

矯正牵引临床调整 Ytornado 您的广州牙医樊成涛 搜狐博客

19重庆pd法meaw弓弯制训练 技术

牙齿不齐戴牙套有什么作用 维乐口腔 连锁品牌 上海官网 一切与牙无关 一切与人有关

Lh Meaw的妙用 渥爾牙醫 全數位化牙科4 0診所 院長 簡士智 隨意窩xuite日誌
Meawワイヤー まき歯科ブログ ー岡山市北区の歯医者 矯正歯科ー
Http Www Kenkose Com Tw Modules Newbb Dl Attachment Php Attachid Post Id

非抜歯による矯正治療の流れ

矯正装置について 高槻市 茨木市のダイワ矯正歯科医院

福科斯

Meaw マルチループ 矯正装置

Lh Meaw的妙用 渥爾牙醫 全數位化牙科4 0診所 院長 簡士智 隨意窩xuite日誌

龅牙会带来什么危害 深圳爱康健口腔医院

Lh Meaw加上骨釘改善超級三級咬合 陳彥朋醫師之齒顎矯正顏面美學 痞客邦

快速弯制多曲方丝弓的方法 每日头条

矯正牵引临床调整 Ytornado 您的广州牙医樊成涛 搜狐博客

Meawという矯正法 ナカヤマデンタルオフィス 成人総合歯科 ブログ

优适捷牙齿矫正牙齿是这样矫正过来的 完美女人网

以lh矯正法治療各類不正咬合 更正嚴重中線偏移 陳彥朋醫師之齒顎矯正顏面美學 痞客邦

如何只做牙齒矯正來改善厚道的下巴和前牙錯咬 林榆芩醫師 痞客邦

金属牙套矫正

牙齒矯正 大紀元

談lh Meaw 渥爾牙醫 全數位化牙科4 0診所 院長 簡士智 隨意窩xuite日誌

牙齿正畸医生如何选择 知乎

附图 Meaw弓丝 正面牙合像 口腔医学 天山医学院

她的开合矫治应用了meaw技术 原创 武广增的博客 Kq口腔博客

Meaw 妙 ワイヤーをセットした際のブラッシングについて 池上矯正歯科クリニック

5151 線上健康照護網
神奇的meaw技术 医联