下顎 小さい 歯並び
歯が真っすぐ生えなくなり、ぐちゃぐちゃな歯並びになる事もあります。 せっかくの小顔でも、歯並びが悪いとマイナスイメージですよね!? 小顔の特徴を知り正しく小顔になりましょう。 小顔の特徴は、下顎骨の3つの部分が小さいという特徴がありまし.
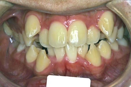
下顎 小さい 歯並び. 下顎が小さい(下顎後退、上顎前突) 著しい出っ歯、前歯が咬み合わない方は、下あご自体が特に小さいことによって悪い歯並び・咬み合わせの原因になることがあります。 顔立ちは小顎、あごが無いと訴える方もいます。. あなたが悩んでいるのが、顎が小さいことが原因による歯並びの悪さなのでしたら、迷わず歯列矯正を考えてみてください。 例えば、 前歯が出っ歯になっているのを矯正すれば、下顎が引っこんだ状態が改善され、結果的に小さい顎が目立たなくなること. 下の顎が大きい、または上の顎が小さいなど、骨格性の遺伝が受け口の原因に大きく関わっています。 2.前歯歯軸が原因の場合 上顎(あご)の前歯が内側に傾斜、下顎(あご)の前歯が外側に傾斜することにより骨格のバランスは問題がなくても歯の萌出.
「顎が小さくて歯並びが凸凹になってしまった。」8歳女児(非抜歯) 治療前(8歳) 小児矯正終了時(9歳) 永久歯列期(12歳) 「顎が小さいようで永久歯が真っ直ぐきれいに はえるスペースが不足しているようです。これからまた永久歯がはえると もっと凸凹になりそうでとても心配です。. でこぼこ・ガタガタ(叢生) 八重歯・乱ぐい歯(叢生) すきっ歯(空隙歯列) オープンバイト(開咬) 矯正知識について. はじめに 「顎を広げる床矯正は、顔が大きくなる」という話を、聞いたことはありますか?しかし実際は、逆に「顔が小さくなる可能性の方がずっと高い」のです。 顎を広げて大きくするというイメージだけが先行し、誤解が生じるようなので、ここでは床矯正について、簡単にわかりやすく.
良い歯並び、正しいかみ合わせ 良い歯並び、正しいかみ合わせとは以下の条件を満たしている状態です。 奥歯でカチンと噛んだ状態でご自分の歯を見てください。 これらの状態に当てはまらない場合は何らかの不正があります。. 顎が小さいと歯並びだけでなく、鼻づまり、ぜんそく、いびき、姿勢の乱れにも影響が。骨の成長を利用した顎顔面矯正で根本的な治療を前田歯科 前田秀朗 先生 | 病気や症状。治療や予防に役立つ 病院・医院・クリニック情報サイト『広島ドクターズ』. 下顎の前歯を並べるために、”下顎を広げる”ということを問題にしていると思います。 確かに下顎骨自体は広がらないと思いますが、歯列を広げたり、歯を後方にずらしながら、前歯の重なりを治しますので、矯正治療は可能です。 下顎の歯列を改善するとでは外見があまり変わらないと.
下顎が小さい事は、見た目や健康に影響が出てきます。 もし、成長期にあるのであれば食事のとり方や、歯並びなどに注意して下さい。 成長期を過ぎてしまった方も、舌の筋肉を鍛えて空気の通り道を広げてあげれば、見た目と健康に良い影響を与える事. 「小さい上顎+大きい下顎」 であり、本来下の歯並びを覆うように並ぶはずの上の歯並びが、上顎の骨が小さいせいで下からの突き上げが起こり、結果的に前に押し広げられてしまっています。 そのため、上の歯並びが「混雑」と「隙っ歯」が同時に存在. その後、適切な咬合誘導並び咬合育成を行い綺麗な歯並びを得る事が出来ました。 photo 605.
Q Tbn 3aand9gcq07pb2s16 9bmfftocgzsmy9tdeqvwnak5bbtlu Pzx5ii37 Usqp Cau

前歯の歯並びと小さい歯を改善 インビザラインとオールセラミッククラウン 医 精密審美会

仙台市 矯正歯科 市名坂歯科医院
下顎 小さい 歯並び のギャラリー

顎が小さいことで起こる凸凹歯並びの歯科矯正 8歳小学生 国立市の歯医者 壱番館デンタルオフィス

下顎が小さい 顎なし 患者さんの矯正歯科治療 フェイストーク麻布十番矯正歯科 矯正歯科専門クリニック

顎変形症の歯並びを矯正 健康保険適応 茨城県守谷 守谷駅徒歩3分 川村矯正歯科

小児歯科 あま歯科クリニック

こんな歯並びは要注意 みやわき矯正歯科クリニック 宇部市 山口市

札幌医科大学 医学部 口腔外科学講座 診療案内 顎変形症
Q Tbn 3aand9gcsluyewwxmidsrvbghl0z5sdlepwi7z1hrtw4x0ryrxvgytej4s Usqp Cau

症例集

矯正歯科 神戸市西区の歯医者さん よしかわ歯科医院

顎が小さく永久歯の前歯が並ばない Album 173 石井歯科矯正歯科医院

小児期の歯科矯正 歯並び相談も行っています 相模原市 橋本駅近く 大田歯科クリニック

矯正治療 霧島市で矯正治療を行う歯科医院 たけした矯正歯科

大人の過蓋咬合 噛み合わせが深い の治療について 世田谷区野沢の矯正歯科 しぶたに矯正歯科

こんな歯並びは要注意 みやわき矯正歯科クリニック 宇部市 山口市

正常な噛み合わせと悪い噛み合わせ 大分 矯正歯科ガイド

小学生からの矯正治療 宮崎台やすい矯正歯科クリニック

歯列矯正 杉戸サン歯科医院

顎が小さいことで起こる凸凹歯並びの歯科矯正 8歳小学生 国立市の歯医者 壱番館デンタルオフィス

子供の受け口 上下反対の噛み合わせ の治療について 世田谷区野沢の矯正歯科 しぶたに矯正歯科

成人治療例 まさき矯正歯科

上下顎共に顎の大きさに対して歯の大きさがアンバランス Album 167 石井歯科矯正歯科医院

様々な歯並びの治療例 海老名市柏ケ谷の歯医者なら さくら歯科

顎が小さいことで起こる凸凹歯並びの歯科矯正 8歳小学生 国立市の歯医者 壱番館デンタルオフィス

矯正治療について 諏訪矯正 予防歯科 4s フォースは諏訪地域で矯正 小児 審美 予防歯科に力を入れたデンタルクリニックです

大人と成長終了後の10代の不正咬合の分類 川崎市高津区溝の口駅前 溝口矯正歯科 矯正歯科専門

歯並びでお悩みではありませんか 渋谷ルーブル歯科 矯正歯科 渋谷駅徒歩3分

下の歯がガタガタになってきた 矯正した方がいいの

子供の矯正 ほしの矯正歯科

加古川市で矯正治療 の歯医者お探しなら 当院へ

あなたの歯並びはどれ 辻堂 藤沢 茅ヶ崎 平塚の矯正なら ひだ矯正歯科

東京都日野市の歯医者なら 予防歯科の長谷川歯科クリニック

不正咬合と矯正治療 けんせい歯科

叢生 歯並びがデコボコ の原因と治療法 東京都千代田区の矯正歯科専門医院 神保町矯正歯科クリニック
Q Tbn 3aand9gcr1p2f6ks R1fchpzhjktn4cimtja3eyxaufejnzpsn532bwvkw Usqp Cau

上顎前突 出っ歯 過蓋咬合の矯正歯科治療 期間 費用 東京の矯正歯科

矯正歯科 近畿 関西大阪の矯正歯科専門治療 医 かわい歯科クリニック

子供の矯正 ほしの矯正歯科

15年 3月 歯の数が少ない 永久歯先天性欠如

顎が小さいことで起こる凸凹歯並びの歯科矯正 8歳小学生 国立市の歯医者 壱番館デンタルオフィス

19年 2月 乳歯のうちに取り外し装置で矯正

上顎が小さく 受け口っぽく見える症例 ブログ詳細 四ツ橋グリーンデンタルオフィス
祐天寺のアクアデンタルクリニックが虫歯 歯周病予防のお手伝い

15年 3月 歯の数が少ない 永久歯先天性欠如

上顎が小さく 受け口っぽく見える症例 ブログ詳細 四ツ橋グリーンデンタルオフィス

症状と治療 スマイルガイド 矯正歯科の正しい選択を応援するサイト

症例集

矯正治療 のだクローバー歯科

症例紹介27 Mさん 中立咬合 叢生歯列 下後退顎 公式 立川市 Opひるま歯科 矯正歯科

一宮市で矯正歯科ならにじいろ歯科へ

こいけ矯正歯科 大人の矯正治療例

すきっ歯の歯並び 空隙歯列 大分県の矯正歯科 相談室

大人と成長終了後の10代の不正咬合の分類 川崎市高津区溝の口駅前 溝口矯正歯科 矯正歯科専門

矯正歯科 近畿 関西大阪の矯正歯科専門治療 医 かわい歯科クリニック

不正咬合の種類と症例 河原町歯科医院 京都 四条河原町

顎変形症の歯並びを矯正 健康保険適応 茨城県守谷 守谷駅徒歩3分 川村矯正歯科

こんな歯並びは要注意 みやわき矯正歯科クリニック 宇部市 山口市

11年の歯科矯正が台なしになった女性の悲劇 健康 東洋経済オンライン 経済ニュースの新基準

出っ歯のお悩み相談から埋伏歯が判明 大垣市のよろず矯正歯科
歯を矯正したいのですが 抜歯となるとやりたくないです Yahoo 知恵袋

矯正歯科

こんな歯並びは要注意 みやわき矯正歯科クリニック 宇部市 山口市

矯正治療 Before After 不正咬合 矯正歯科は西宮市の歯を抜かない非抜歯矯正 噛み合わせ外来 なかの歯科クリニック

歯並びの気になる方へ 公式 医療法人社団マキタ歯科 静岡県浜松市西区の歯科医院

歯並びがでこぼこ 八重歯 叢生 治療例 札幌の矯正歯科 アントン矯正歯科クリニック

歯並びが悪いのは歯が大きすぎるからではなく 顎が小さすぎるから Newsphere

大人の矯正治療 ブラン鮎沢矯正歯科

抜歯治療 Vs 非抜歯治療 広島中央矯正歯科は広島市中区八丁堀にある矯正歯科専門の診療所です

上顎が小さく 受け口っぽく見える症例 ブログ詳細 四ツ橋グリーンデンタルオフィス

写真あり とても歯並びが悪く顎が小さくても 歯列矯正はできますか 歯チャンネル歯科相談室

前歯の大きさが小さい場合の対応について プロ先生の歯列矯正日記

顎が小さいことで起こる凸凹歯並びの歯科矯正 8歳小学生 国立市の歯医者 壱番館デンタルオフィス

こいけ矯正歯科 大人の矯正治療例

あなたの歯並びはどれ 治療について 松戸駅の矯正歯科 歯の矯正 歯列矯正なら秋山矯正歯科

面長で下顎後退の顔を短くし顎を前に出してeラインを作る矯正治療 フェイストーク麻布十番矯正歯科 矯正歯科専門クリニック
Q Tbn 3aand9gcsapw1dpwegn55nlpdmhdpwlnztwjnlm1zaps77nkzriacq91i8 Usqp Cau

下顎が小さい 顎なし 患者さんの矯正歯科治療 フェイストーク麻布十番矯正歯科 矯正歯科専門クリニック

不正咬合の種類と症例 河原町歯科医院 京都 四条河原町

治療例 みやもと矯正歯科診療所 南あわじ市 歯科矯正治療専門医療機関

症例紹介 矯正歯科 大阪 ほてい矯正歯科

大人の矯正歯科について 堺市南区 光明池の のばた矯正歯科

こんな歯並びは要注意 みやわき矯正歯科クリニック 宇部市 山口市

矯正で抜歯後 歯の隙間を目立たせたくない場合 大垣市のよろず矯正歯科

外科矯正治療 さっぽろ矯正歯科クリニック

顎が小さいと歯並びは悪くなる 専門医が詳しく解説します ハコラム

不正咬合 叢生 大分矯正歯科 大分駅徒歩1分の歯列矯正歯科医院 大分市 別府市 佐伯市 由布市など大分県内全域から来院

下顎が小さい 顎なし 患者さんの矯正歯科治療 フェイストーク麻布十番矯正歯科 矯正歯科専門クリニック

歯の大きさのバランスが悪い不正咬合の症例 矯正歯科ネット

大変 顔が曲がってきた 期待の新矯正治療 インビザライン ファーストへ ブログ お知らせ

抜歯治療 Vs 非抜歯治療 広島中央矯正歯科は広島市中区八丁堀にある矯正歯科専門の診療所です

高校生 男子 前歯のがたがた歯の矯正歯科治療 よしかわ矯正歯科 症例

裏側矯正は出っ歯の方におすすめ 大分 矯正歯科ガイド

下顎が小さい 顎なし 患者さんの矯正歯科治療 フェイストーク麻布十番矯正歯科 矯正歯科専門クリニック

症例紹介19 Aさん 中立咬合 矮小歯および先天欠如を伴う叢生歯列 公式 立川市 Opひるま歯科 矯正歯科

八重歯 歯並び 大阪の審美歯科治療 ウメダデンタルクリニック

大人の過蓋咬合 噛み合わせが深い の治療について 世田谷区野沢の矯正歯科 しぶたに矯正歯科

高校生 男子 前歯のがたがた歯の矯正歯科治療 よしかわ矯正歯科 症例

矯正歯科 東北大学病院

大人と成長終了後の10代の不正咬合の分類 川崎市高津区溝の口駅前 溝口矯正歯科 矯正歯科専門

顎が小さいことで起こる凸凹歯並びの歯科矯正 8歳小学生 国立市の歯医者 壱番館デンタルオフィス

上顎前突の矯正治療 矯正歯科医院なら東京 日本橋駅徒歩4分 三越前駅直結の歯医者 Aqua日本橋 矯正歯科

子どもの矯正 歯並びの種類 神戸矯正歯科グループ