Milk Teeth Skull
The point of displaying the picture seems to be that it's expected to be scary or disgusting - repulsive to the audience.
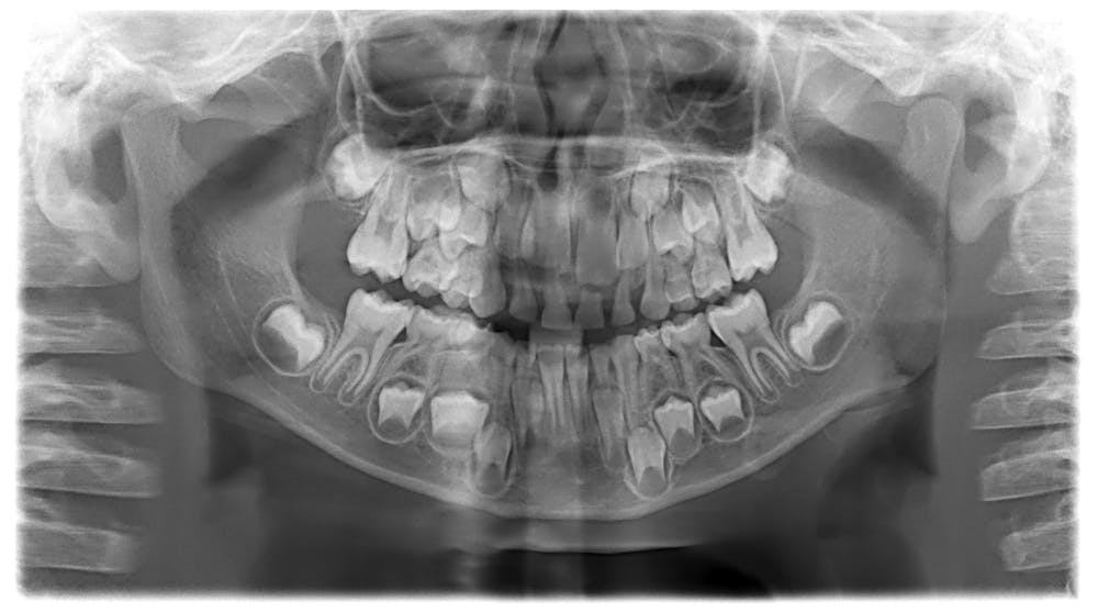
Milk teeth skull. There are no milk or baby molars, the teeth that come through are the adult ones. Thin bone covering the inner portions of the ear. The skulls of the several subclasses and orders vary in the ways mentioned below.
Most mammals have two sets of teeth during their lives:. For more information on easing your baby’s teething you can read our article here. Teeth in the H.
Premolars erupt from the maxil-lary bones, they are deciduous cheek teeth that are found rostral to the molars;. View entire discussion ( 159 comments) More posts from the WTF community. You start in the middle of the two front teeth and work your way back.
I put the tooth in a bottle with some milk in and went to the dental centre where they put it back in. Is that a colloquialism for baby teeth?. 1 skull made of cement or resin (whatever won't melt) heavy gloves;.
The most and strong tooth structure is a tree squirrel species. These milk teeth consist of 12 incisors and 12 molars. • Often skulls or jaws are broken, with missing teeth – remember that skulls are symmetrical.
Rommel , eds ) , Vol. This child's skull shows rows of adult teeth waiting to replace baby teeth. A newly developed tusk has a smooth enamel cap that eventually wears off.
These usually remain in place during the period of suckling but are later replaced by. Back when I was teaching, I had a collection of skulls to show the students the differences. 1st set = milk teeth or deciduous teeth Marsupials only have 1 post canine milktooth (could have three) Monophyodont.
A dental formula specifies the teeth, reading from anterior to posterior of one half of the jaw. Fortunately i was in the Army at the time and there was a medical centre on base. These differences enable teeth to work together to help you chew, speak and smile.
Most people start off adulthood with 32 teeth, not including the wisdom teeth. Teeth and bones look similar and share some commonalities. Two in mammals - where in the back of your skull sticks out which allows our skull to articulate to the cervical vertebrae.
There are two sets of teeth in this skull and it is because the ‘milk’ or ‘baby’ teeth will shed so the new will come. 15 – 72. Erupted above the gums or almost so, These first teeth are known as milk (or deciduous) teeth.
If it has three spikes, like this one, is is a baby or milk tooth and the deer is not older than 13 months if it is a roe, and not older than 30 months if it is a red. Teeth While somewhat gnarly, sure, but it’s still rather fascinating to see what it looks like as permanent teeth form within the skull before pushing out baby teeth. 3 1 4 3.
A child's mouth contains initial teeth, called primary teeth, baby teeth, or deciduous teeth, consisting of the following teeth types:. Wui skull suggest that this animal suckled its young and, thus, is a true mammal, Crompton notes. Skull Anatomy 1033 S and S.
The mammalian skull is a complex structure that serves two primary functions:. Parents naturally worry about what could have caused these and how to prevent further damage. The baby or milk teeth are there only to fill the oral cavity and reserve a place for the real and permanent teeth to come.
The number given is for the teeth on one side only, that above the line. Also, milk from the breast enters the baby’s mouth behind the teeth. Numerous tubercles make the occlusal surface of the molars irregular, ideal for crushing food.
2 Year Skull With Teeth:. The latter are the 3 back teeth on each side of both the upper and the lower jaw. For example, they both contain calcium and they’re the hardest substances in the body.
Sometimes a parent will notice their toddler’s tiny new teeth are marked or have cavities. Fortunately i had a fair bit of fluid. I assume they broke the front of the skull to show the teeth?.
You've heard this one before, but “Dairy, including milk, is one of the best sources of calcium—which, along with Vitamin D, magnesium, and protein—are essential for bone health,” says Majumdar. Brush your teeth twice a day and floss and rinse with an antiseptic mouthwash at least once to keep plaque at bay. Especially for little babies, teeth are paving the way through a baby’s gum for the first time.
The picture is described as "A child’s skull before losing baby teeth". Milk Teeth - Premolars & Molars. Sideshows have fascinated audiences for centuries, first enthralling them during the end of the 1800s and beginning of the 1900s.
Mammals, as their name indicates, take their first nourishment from their mothers’ mammary glands. Heat the nose area, when clear push the sponge into it. It is fascinating to see how the cap shed on this premolar.
Below, a time-lapse video of permanent teeth growing in:. The third molar of the permanent sets is developed after the age of 12 years. 1) protection of the brain and other sensory receptors and 2) attachment sites for jaw muscles.
Glue gun with glue;. Young hippos have thirty two milk teeth including three incisors, one canine, four premolars on each half of the jaw on both sides. • Remember that age plays a role in what you see (milk teeth versus permanent teeth, sutures on brain case, etc.).
In an anatomic tooth-identification system, permanent teeth are designated as incisor (I), canine (C), premolar (P), and molar (M);. This is freakier than all the Alien films combined. In fact, squirrel has two large milk teeth in front like milk teeth in rabbits.
Cut the nozzle and handle off the jug. These permanent teeth then replace the primary ones. Heat the mouth area over the teeth and press the cold sponge over the teeth to get the basic shape of the mouth.
Considerable cranial growth occurs before it becomes necessary to replace the milk teeth. 10 Characters Inspired By Real Sideshow Performers. Cut off the extra plastic under the mouth, be sure to leave about 1/2 inch extra to fold under the teeth and base.
Nov 12, 16 - Logging into our communities will enable you to interact with other healthcare professionals from around the world. For owners that have yet to experience finding a cap, these images show the natural exchange of deciduous (baby/milk) teeth for permanent teeth. For example, consider the human skull shown at the bottom of page Skulls-4.
Placental mammals usually have a maximum of four postcanine teeth in their milk dentition and seven postcanine teeth in the adult dentition. Milk teeth and permanent teeth below. Reptile - Reptile - Skull and dentition:.
This is a private website created solely for healthcare professionals. The clear images demonstrate why the milk teeth are known as 'caps'. They are usually lost and replaced by permanent teeth, but in the absence of permanent replacements, they can remain functional for many years.
In Skeptics.SE, a question regarding the skulls of children arose. This process continues until the 6th and sometimes 7th molar appears. Depicting a scary skull where the permenent teeth are "hidden" inside the jaws and the milk teeth are in the their place.
Kid being brought up into sky by a kite today in Taiwan. The four cheekteeth present both in the milk (deciduous) dentition and in the adult dentition are defined as the premolars. Store the tooth in milk and head to the dentist right away.
Developmentally, there are two sets—milk (or “ baby ” ) teeth and adult teeth. Deciduous teeth, or milk teeth, are the first set of teeth in young animals. They replace deciduous milk teeth at 6–12 months of age and grow continuously at about 17 cm (7 in) a year.
3 1 3 3 1 3 = 14 Permanent:. The skull contains air cavities that reduce the weight of the skull while maintaining overall strength. If the baby is actively sucking then he is also swallowing, so pooling breast milk in the baby’s mouth appears not to be an issue.
National Geographic describe the remarkable fossil find as “Found in sandstone in the Dikika area, the remains include a remarkably well-preserved skull, milk teeth, tiny fingers, a torso, a foot, and a kneecap no bigger than a dried pea.”. The lower tusks are kept sharp by friction against the upper ones making them formidable weapons. Molars are nondeciduous cheek teeth that erupt from the.
Milk teeth get replaced by permanent teeth by the time the individual turns six years old. Before the age of 12 years, all the deciduous teeth fall and they are replaced by the permanent teeth. These two milk teeth are usually textured larger and longer than the other teeth.
There are four types of teeth, and each plays an important role in how you eat, drink, and speak. In boars, the canine teeth, or tusks, grow throughout the animal's life. Skulls of this transition in action show the.
The young animal, whether male or female, has 24 temporary teeth, commonly called milk teeth, as they are much whiter than the permanent teeth. A child's skull, before their milk teeth fall out. After the first two teeth are gone, parts of the two adjacent teeth are being worn down in each half of the jaw.
This possum skull was in a friend's old boat. Posted by 3 days ago. These are replaced by a permanent set of teeth as animals age.
As a group, reptilian skulls differ from those of early amphibians. The deciduous dentition is also known as the milk teeth. Tooth buds form in a baby’s gum in the womb, so they are still hidden away like in this picture.
Yes, milk really is good for bone health and preventing osteoporosis. The number of teeth in one side of the upper jaw is written over the number in one side of the lower jaw. Deciduous teeth are designated as Di, Dc, and Dp.
Hippo skull Adult hippos have thirty six teeth including two incisors, one canine, three pre. Each is used, preceding the number of those teeth usually present in skulls of adults. Cheap and doesn't make the skull brittle.
Human Skull Most Popular Memes Ancient Aliens Retro Art Science And Nature Dentistry Face And Body Human Body Dental. Among the four types of teeth, the lower incisors are the first primary teeth to develop in, and most kids will have all their twenty primary teeth by age 3, which includes:. The permanent teeth and the deciduous or “milk” teeth which are lost in a fairly predictable schedule during the first year of life.
And much like kittens you may have raised yourself, little Smilodon kept their milk teeth until their adult teeth pushed the old ones out of the way. An easy way to quickly see the age of a deer is to look at the lower pre-molar 3 (PM3) tooth. A bacteria (present in plaque) called Streptococcus mutans (S.
The 6th molar weighs on average an incredible 4 kilograms and has a maximum grinding length of 21 centimetres (and a width of 7 centimetres). I have tried several methods but I really like this one. • Smaller rodents are particularly hard to identify • Look at range maps, know who is in your area.
During the infancy, the milk teeth erupt. Mutans, or strep mutans) is thought to be the primary cause of tooth decay. In addition to differences in openings on the side of the skull and in general shape and size, the most significant variations in reptilian skulls are those affecting movements within the skull.
Skull_Skeleton_Lab3.doc 09/15/09 page 12 of 48 Numbers of Teeth. Baby skulls have so many teeth!. Deciduous teeth – commonly known as baby teeth, milk teeth, temporary teeth, and primary teeth – are the first set of teeth in the growth development of humans and other diphyodont mammals.
There's a picture on Pinterest depicting a child's skull with all deciduous teeth (baby teeth) still attached, and adult teeth showing in a quite developed stage underneath:. After all milk teeth fall out, and the permanent teeth "rise", do the holes left by them filled up, or do we go around with holes in our jaws?. Saved by Jamie Lutz.
Squirrel has at least 21 teeth in their mouth. Teeth vary in size, shape and their location in the jaws. There are several possible causes of early cavities but some dentists blame breastfeeding;.
Bones and structures of the mammalian skull, Teeth, Types of traps used in mammalogy. It's called "Milchzähne" here -- milk teeth (excellent example of the close relationship of the English and German language. Especially breastfeeding during the night.
At birth people usually have baby (primary) teeth, which start to come in (erupt) at about 6 months of age. They develop during the embryonic stage of development and erupt during infancy. Slip the jug onto the skull so the longer side is on the front.

X Rays Of Kid S Skulls As Their Baby Teeth Get Pushed Out Canine Tooth Teeth Skull
Fox Skulls Gerard Geer

Coyote Pup Skull Pics Welcome To The Taxidermy Net Forum And Community
Milk Teeth Skull のギャラリー
Q Tbn 3aand9gcqcie3cb66zeryg7snxdpu1pyb5f50i Ofjdzsftszgvghgx2oe Usqp Cau

Deciduous Teeth Anatomical Model Hab Direct

Coloured X Ray Of Childs Skull And Tooth Eruption

Panoramic Dental Xray Of A Child Deciduous Milk Teeth Growing Stock Photo Picture And Royalty Free Image Image

Child Skull Memento Mutter

A Child S Skull Before Losing Baby Teeth Kontraband

A Child S Skull Before Their Milk Teeth Fall Out From Album Photos Of Scientific Illustration For The Research Scientist Childs Skull Baby Teeth Skull

Goat Dentition Goats

Teeth And Dental Care For Ks1 And Ks2 Children Teeth And Dental Care Homework Help Theschoolrun

A Child S Skull Before Their Baby Teeth Fall Off Oddlyterrifying

Baby Teeth Tumblr

Howard Farran This Baby Human Skull Contains Both Sets Of Teeth Humans Usually Have Primary Deciduous Baby Milk Teeth And 32 Permanent Adult Teeth T Co Ohkme1wcur

Milk Teeth Art Board Print By Bloodymarvelous Redbubble

Teeth علاء العبادي

Could Old Skulls Help Us Understand Why We Have Crooked Teeth Whyy

13 Fascinating Pictures That Show Our World From A Different Angle

Deciduous Teeth Wikipedia

Cx6nbqmntwmb9m

Finding Out A Young Deer S Age By Its Teeth Jake S Bones

Newborn Baby Skull Teeth Newborn Baby

Children Have All Their Adult Teeth In Their Skull And It Looks Freaky Creepy

What Can Baby Teeth Tell Us Technology Networks

Mammoth Teeth And Monkey Skulls Technicalmuseumstrainee

Skull And Teeth Of Child Stock Image C039 2998 Science Photo Library

Baby Steps This Ancient Skull Is Helping Us Trace The Path That Led To Modern Childhood

Teet By Soyini Ayanna Forde Cleaver Magazine

Secrets Of A Feral Hog Skull Forgotten Winds

A 2 Year Old S Skull Teeth Skull Teeth Teething Baby Childs Skull Baby Teeth Teeth

Milk Teeth By Damp Matches On Amazon Music Amazon Com

Dental X Ray Of Child 6 Years All Baby Teeth In View Stock Photo Image Of Medical Female

X Rays Of Kids Skulls As Their Baby Teeth Get Pushed Out And Their Permanent Teeth Grow In Dangerous Minds
Real Human Child Skull With Dentition Skulls Unlimited International Facebook

Determining The Age Of Farm Animals By Their Teeth Small Farmer S Journal

Development And Eruption Of The Teeth Dental Anatomy Physiology And Occlusion Part 2

Shadyufo S Tumblr Hey Would You Happen To Have Any Tips On Telling

Curious Kids Why Do We Lose Our Baby Teeth

As Our Skin Sags With Age So Do Our Bones Npr

Page 5 Royalty Free Teeth Photos Free Download Pxfuel

Did Ancient Teeth Decay Ask An Expert Abc Science

Amazon Com Dwk De Mortuis Actual Size Faux Human Skull Replica Decor Halloween Horror Decoration Gothic Anatomy Figure Home Decor And Office Accent 8 Inch Home Kitchen

X Rays Of Kids Skulls As Their Baby Teeth Get Pushed Out And Their Permanent Teeth Grow In Dangerous Minds

Where Do Teeth Come From Youtube

X Ray Skull Boy Milk Teeth Education Stock Image

Milk Teeth Tapestry By Bloodymarvelous Redbubble
Fox Skulls Gerard Geer

The Mouth Human Anatomy

Why Are Teeth Not Considered Bones Live Science

Color Print Depicting Several Views Of The Anatomy Of The Human Skull Including The Hyoid Bone A The Attachments Of Muscles And Cartilages To The Hyoid Bone B The Skull Of A

Milk Teeth Art Fine Art America

Paediatric Dentistry Krakow Poland Cichon

Photo Child S Skull Before Losing Baby Teeth

Let S Gnaw On This For A Bit Gladys Black Environmental Education Project

Earliest Direct Evidence Of Milk Consumption c News

Baby Skulls Have So Many Teeth Milk Teeth And Permanent Kontraband

X Rays Of Kids Skulls As Their Baby Teeth Get Pushed Out And Their Permanent Teeth Grow In Dangerous Minds

Dental Detectives What Fossil Teeth Reveal About Ancestral Human Diets The Salt Npr

The Primary Deciduous Teeth Dental Anatomy Physiology And Occlusion Part 1

Curious Kids Why Do We Lose Our Baby Teeth

Synapsida Why Rabbits Aren T Rodents

Could Old Skulls Help Us Understand Why We Have Crooked Teeth Whyy

Mouth Of The Horse Anatomy Function

10 Scariest Photos For Everyone Who Has Trypophobia Quizai

Science Source Deciduous And Permanent Teeth At Age 6

Fox Cub Skull With Some Of Its Milk Teeth Taxidermy Vet Education Steam Punk Got

Guide Leaflet Fig 2 Australopithecus Righl Side View Of The Skull After Dart The Fossil Skull

Juvenile Hedgehog Skull By Exifia On Deviantart

Aye Aye An Overview Sciencedirect Topics
Do Babies Already Have Adult Teeth Waiting Quora

All About Teeth 24 Questions About Your Pearly Whites Answered Ask The Scientists

A Child S Skull It Shows Their Baby Teeth With The Adult Teeth Above It Interestingasfuck

Hypodontia An Overview Sciencedirect Topics

Prehistoric Farmers Teeth Show Humans Were Drinking Animal Milk 6 000 Years Ago Smart News Smithsonian Magazine
Human Baby S Skull Ct Scan Stock Image C025 6819 Science Photo Library

Baby Skulls Have So Many Teeth Milk Teeth And Permanent Teeth Below In Childs Skull Dental Dental Fun

Community Post Creepy Skull With Two Sets Of Teeth Childs Skull Skull Baby Teeth

Our Skulls Are Out Evolving Us A Motley Crew Of Scientists Argue That By Katherine Reynolds Lewis Onezero
Q Tbn 3aand9gcq3psvcbysnetmzzhoby8i6mzeafuuibjtatfvcbjppv8lzhlcx Usqp Cau

Dr Rosalyn Wade Dog Skull Dissected To Show Milk Teeth And Adult Dentition Destined For Intro To Mammals

Child Skull Memento Mutter

How Ancient Teeth Reveal The Roots Of Humankind Science Smithsonian Magazine

Our Skulls Are Out Evolving Us A Motley Crew Of Scientists Argue That By Katherine Reynolds Lewis Onezero
Q Tbn 3aand9gcs1u9dsywsepkazevpzq6wh0dxnykztao5ym2k7o Usqp Cau

Dental Anatomy

Picture Of A Child S Skull With Milk Teeth Still Intact Slightly Nsfw Pics

What S The Purpose Of Baby Teeth Quora

This Is What Your Skull Looks Like Before Losing Baby Teeth It Is Horrifying Viralnova

Child Skull Memento Mutter
3

Milk Teeth Reveal Medieval Children In Canterbury Lived On Bread And Broth Daily Mail Online

Woolly Mammoth Mammuthus Primigenius Skull Fragment With Milk Teeth Download Scientific Diagram

Child S Skull With Teeth Creepy But Fascinating Images Bellybelly

Horse Teeth Wikipedia

Unique New Trend Baby Teeth Jewelry Sheknows

When Do Dogs Lose Their Baby Teeth Canine Dental Development
Child S Skull Stock Image P1 0148 Science Photo Library

Skull Of A Babirusa Pig Demonstrates The Upper Canine White Arrowhead Download Scientific Diagram

Development Of Baby Teeth Medlineplus Medical Encyclopedia Image

Image 12year Old Child Xray Film Stock Photo Edit Now

Neanderthal Children Grew And Were Weaned Much Like Modern Humans New Study Says Cnn

Child Skull How Aliens Would Reconstruct The Animal Know Your Meme

A Child S Skull Before Losing Baby Teeth Kontraband