脳 むくみ アルコール
アルコールと癌アルコールは心臓に悪い。おまけに、脳細胞を溶かし、脳を萎縮させるという。身の毛もよだつコワイ話だが、アルコールの害はそれにとどまらない。who(世界保健機関)の報告によれば、酒(アルコール)は、 ・ 口腔 … 続きを読む 禁酒・断酒の効果Ⅲ~なぜ酒をやめられた.
脳 むくみ アルコール. そろそろ忘年会シーズンですね。 今回はお酒(アルコール)とむくみの関係についてご紹介していきます。 お酒を飲んだ次の日はいつもむくみに悩まさせているあなた! これさえ知っておけば、もう怖くない♪楽しいお酒の時間を過ごせちゃいますよ。 お酒による"むくみ"の3つの原因 お酒を. 心臓と脳 人間は、つまるところ、心臓と脳で生きている。だから、どちらか一方が機能を停止すれば、「死」と判定される。それまで積み重ねた人生がリセットされるわけだ。この無慈悲な瞬間はすべての人間に訪れる。人種、老若男女、貴 … 続きを読む 禁酒・断酒の効果Ⅱ~アルコールと. 2,血管から漏れ出た水分による脳のむくみ アルコールやアセトアルデヒドの影響により広がった血管からは水分が漏れ出します。 それにより血管を取り巻く組織、つまり脳にむくみが発生し、 神経を圧迫することも痛みの原因となります。.
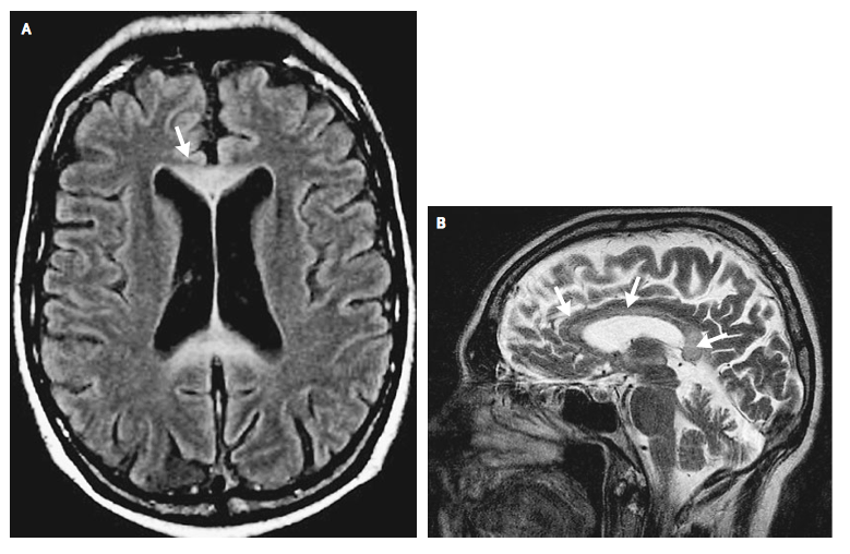
アルコールとうつ、自殺 アルコールと認知症 アルコールと癌(がん) アルコールと歯科疾患 アルコールの消化管への影響 アルコール性肝炎と非アルコール脂肪性肝炎 アルコールと痛風 アルコールと糖尿病 アルコールと高脂血症 胎児性アルコール症候群. 我慢できないほど、イライラ感が募るとき、「むくみ」がひとつの原因であることに気付いた。それから、イライラ感を処理するのが上手になった。 最初は「塩分の取りすぎ」を疑っていた 私は、食べたもので、気分が左右されやすい。時々、人が変わったようにイライラしてしまうことが. 脳mri画像 アルコール性ウェルニッケ脳症(t2強調画像) 中年の男性。以前からお酒が好きで止められず、大量に飲酒した後、意識がもうろうとし昏睡状態に陥りました。.
アルコールの作用 » アルコールは少量なら気持ちをリラックスさせたり会話を増やしたりする効果がありますが、大量になると麻酔薬のような効果をもたらし、運動機能を麻痺させたり意識障害の原因になります。その他、少量のアルコールは循環器疾患の予防になったりhdlコレステロールを. アルコールなどによる頭痛、二日酔に効くお薬です。 漢方処方“五苓散”が、過剰な水分やアルコールの排出を助けることで、脳のむくみを抑えて、つらい頭痛や二日酔を抑えます。 素早く溶ける顆粒タイプです。 食前などに飲むタイプの漢方薬です。. アルコールの飲みすぎ 体に入ったアルコールを代謝する過程で、アセトアルデヒドと呼ばれる有害物質が産生されます。 この物質には血管を拡張させる作用があり、血管にできた隙間から血中の水分が漏れ出すことで、むくみが引き起こされることがあり.

知っておきたい 高齢者の飲酒問題の特徴 と 介入方法 アルコール依存 に関して インフォメーション 松江はりきゅう治療院 中野 新宿 で鍼灸治療 美容はお任せ

アルコールチェッカー アルコール検知機 ソシアック ナカジマ部品

まきお 電気ブランに備えてねここさんと一緒に薬局でアルピタン買って飲んだ 笑 アルコール頭痛って脳のむくみが原因なんだ
脳 むくみ アルコール のギャラリー

アルコール頭痛 の症状とアルピタンのメカニズム アルコールによる不調を改善 アルピタンシリーズ 小林製薬

その頭痛の原因は悪酔い お酒で悪酔いしないための対策とは アンファーからだエイジング 専門ドクター監修

急性アルコール中毒の後遺症は めまいなどが数日 数週間続くことも 病院さがしガイド

飲みすぎ注意 急性アルコール中毒 予防のススメ 社会福祉法人 恩賜財団 済生会

むくみを解消する水の飲み方 美容 健康のお水 ウォータースタンド株式会社

歯周病も関係 脂肪肝を防ぐための食生活 日経bizgate

アルコール関連身体疾患

お酒とからだ 脳神経との関係 東邦大学医療センター佐倉病院 脳神経内科

頭にネクタイは正解だった 飲んだ後の頭痛の対処法 Oggi Jp

足のむくみ むくみからのメッセージ 東京血管外科クリニック

禁酒のうれしい効果 15日経過 ビューティー ずぼら主婦のライフメモ リビングメイト リビングくらしナビ

人類の敵 低気圧の片頭痛 対処法ハウツー教えます イーアイデムの地元メディア ジモコロ
2

アルコール頭痛 の症状とアルピタンのメカニズム アルコールによる不調を改善 アルピタンシリーズ 小林製薬
2

お酒とむくみの関係 予防 解消で翌朝スッキリさせたい リラトレふぅ 東京池袋徒歩5分 美容整体トレーニング
Http Www Mo Clinic Jp Mo Press Pdf Mo Press 1 Pdf

お酒の飲みすぎで起こる顔や足のむくみの治し方 二日酔いの朝にできる改善 解消法

アルコール依存症について ゆたか倶楽部

アルコール性肝障害の症状は アルコール性肝炎や脂肪肝の症状を解説 メディカルノート

二日酔いの頭痛にはアルピタン 効果 飲み方は 頭痛の原因も解説 たなかノート

あっきー かわいい天使姫 A Twitter イケハヤ先生 成分を見たら 五苓散という漢方で昔からあるやつです 桂皮が含まれるので 副作用に注意です 脳のむくみって脳浮腫のこと

お酒の飲みすぎで起こる顔や足のむくみの治し方 二日酔いの朝にできる改善 解消法

知っておきたい 高齢者の飲酒問題の特徴 と 介入方法 アルコール依存 に関して インフォメーション 松江はりきゅう治療院 中野 新宿 で鍼灸治療 美容はお任せ

対策できる 二日酔いを防ぐワインの飲み方 公式 ワイングラスの名門ブランド Riedel リーデル

新製品 アルピタン 16年 ニュースリリース 小林製薬株式会社

飲みたい 脳 を変える 酒太りが気になったら 食べ物 で飲み過ぎを予防しよう マナトピ

アルピタンを服用して飲み会に挑んだ結果 80年代では断トツ好きな部類のアルバム もう四畳じゃないです日記

お酒を飲むと脳が縮む では休肝日を設ければ大丈夫 ヘルスup Nikkei Style

お酒の飲みすぎで起こる顔や足のむくみの治し方 二日酔いの朝にできる改善 解消法

アルコール不調トリビア アルコールによる不調を改善 アルピタンシリーズ 小林製薬

Icf浮腫 脳浮腫 に対する治療一考

足のむくみ むくみからのメッセージ 東京血管外科クリニック

疲労回復や睡眠の質にも影響 お酒の飲み過ぎには要注意 Sleepedia

Araitakao 低気圧による偏頭痛持ちの皆さん 今回の台風でそろそろ体調に来てるかと思うんですけど 小林製薬の アルピタン をまだ試していない人は是非飲んでみてください 低気圧による頭痛には脳のむくみが関係しているらしく 薬剤師の人に言われ

アルピタン

新年会シーズンも気をつけたい 就寝直前のお酒はなぜngなのか ウェザーニュース

お酒とからだ 脳神経との関係 東邦大学医療センター佐倉病院 脳神経内科

お酒の飲みすぎで起こる顔や足のむくみの治し方 二日酔いの朝にできる改善 解消法
Q Tbn 3aand9gcqrdzcnik7ggawda39kl4o47fn23ysusybca0hwsh0 Usqp Cau
2

お酒とからだ 脳神経との関係 東邦大学医療センター佐倉病院 脳神経内科

お酒とからだ 脳神経との関係 東邦大学医療センター佐倉病院 脳神経内科

酒ってこんなに悪いの 私の禁酒のきっかけになった衝撃ビフォー アフター写真10個 のまないチカラ

五苓散 小林製薬の漢方 生薬 Supported By 小林製薬

お酒の飲みすぎで起こる顔や足のむくみの治し方 二日酔いの朝にできる改善 解消法

お酒とむくみの関係は 予防法もアドバイス イエノミスタイル 家飲みを楽しむ人の情報サイト

アルコール性脳浮腫の対策
2

アルコール頭痛 の症状とアルピタンのメカニズム アルコールによる不調を改善 アルピタンシリーズ 小林製薬

アルコールが抜ける時間はお酒の種類で違う 早く抜く方法 運転はいつから Medicalook メディカルック

アルコール頭痛 の症状とアルピタンのメカニズム アルコールによる不調を改善 アルピタンシリーズ 小林製薬

翌日もむくみ知らず 飲み会でとりいれるワザ3つ Dヘルスケア

次の日やってくるアルコールなどによる頭痛にアルピタン アルコールによる不調を改善 アルピタンシリーズ 小林製薬

むくみを解消する水の飲み方 美容 健康のお水 ウォータースタンド株式会社

頭にネクタイは正解だった 飲んだ後の頭痛の対処法 Oggi Jp

アルコール頭痛 の症状とアルピタンのメカニズム アルコールによる不調を改善 アルピタンシリーズ 小林製薬

アルコール頭痛 の症状とアルピタンのメカニズム アルコールによる不調を改善 アルピタンシリーズ 小林製薬

15年1月のブログ記事一覧 10ページ目 アルコール カフェイン依存と事件事故

メルカリ 人生を決めるのは脳が1割 腸が9割 むくみ腸 を治せば仕事も恋愛もうま ノンフィクション 教養 370 中古や未使用のフリマ

お酒を飲み過ぎた次の日の むくみ をすぐに解消できる方法 Sake Reco お酒と健康 二日酔い対策 情報

新年会シーズンも気をつけたい 就寝直前のお酒はなぜngなのか ウェザーニュース

Lohaco アルピタン 6包 小林製薬 第2類医薬品

アルコール不調トリビア アルコールによる不調を改善 アルピタンシリーズ 小林製薬
2

コラム 手足の症状 高知脳神経外科病院 高知市朝倉

Amazon 第2類医薬品 アルピタン 12包 アルピタン 漢方薬 生薬

脳浮腫 レビューキーワード 一般社団法人日本グラフィック メディスン協会

飲みすぎ注意 急性アルコール中毒 予防のススメ 社会福祉法人 恩賜財団 済生会
Www Pref Nagasaki Jp Shared Uploads 19 06 Pdf

お酒の飲みすぎで起こる顔や足のむくみの治し方 二日酔いの朝にできる改善 解消法

お酒には要注意 飲みすぎは小顔の天敵 ラクシア体験談 メンズラクシア

アルコール依存症 依存症 アルコール 薬物 ギャンブル こころの健康とは 京都市こころの健康増進センター

Lohaco アルピタン 6包 小林製薬 第2類医薬品

解答 解説 アルコール依存症の30歳代女性 実践 画像診断q A 羊土社 レジデントノート 羊土社

お酒の飲み過ぎが原因となる身体の病気 アルコール依存症治療ナビ

知っておきたい 高齢者の飲酒問題の特徴 と 介入方法 アルコール依存 に関して インフォメーション 松江はりきゅう治療院 中野 新宿 で鍼灸治療 美容はお任せ

アルコール患者の脳梁病変 今日なに読もう 病院総合診療医の論文ブログ

知っておきたい 高齢者の飲酒問題の特徴 と 介入方法 アルコール依存 に関して インフォメーション 松江はりきゅう治療院 中野 新宿 で鍼灸治療 美容はお任せ

お酒を飲み過ぎた次の日の むくみ をすぐに解消できる方法 Sake Reco お酒と健康 二日酔い対策 情報

忘年会翌日の 顔のむくみ を防ぐ たったひとつの方法 男の病気 健康 ダイヤモンド オンライン

Lohaco アルピタン 6包 小林製薬 第2類医薬品

はじめての方へ 脳血管疾患 寝たきりになる病気第1位 原因から予防まで Lifull介護 旧home S介護
2

解答 解説 アルコール依存症の30歳代女性 実践 画像診断q A 羊土社 レジデントノート 羊土社

Lohaco アルピタン 6包 小林製薬 第2類医薬品

足のむくみ むくみからのメッセージ 東京血管外科クリニック

アルコール頭痛 の症状とアルピタンのメカニズム アルコールによる不調を改善 アルピタンシリーズ 小林製薬

アルコールチェッカー アルコール検知機 ソシアック ナカジマ部品

お酒に酔わない飲み方 お酒にまつわるウソ ホントを解明 マイナビウーマン

アルコール不調トリビア アルコールによる不調を改善 アルピタンシリーズ 小林製薬

アルコール頭痛 の症状とアルピタンのメカニズム アルコールによる不調を改善 アルピタンシリーズ 小林製薬
2

やっと見つけた 頭の痛くならないお酒 永松龍一郎 Note

アルコール不調トリビア アルコールによる不調を改善 アルピタンシリーズ 小林製薬

知っておきたい 高齢者の飲酒問題の特徴 と 介入方法 アルコール依存 に関して インフォメーション 松江はりきゅう治療院 中野 新宿 で鍼灸治療 美容はお任せ

飲みたい 脳 を変える 酒太りが気になったら 食べ物 で飲み過ぎを予防しよう マナトピ

水中毒 の危険性を医師が指摘 血中の塩分が減り死に至ることも ライブドアニュース